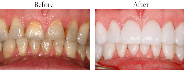
Dr. Linda M. Weinfield and Dr. Linas J. Bartuska have many years of experience in helping patients achieve healthier and more beautiful smiles. Please explore our gallery to see some of the amazing results they have accomplished. To learn more and schedule your appointment with our skilled periodontist and dentist in Oak Lawn, Illinois, give us a call today at 708-422-0004!








